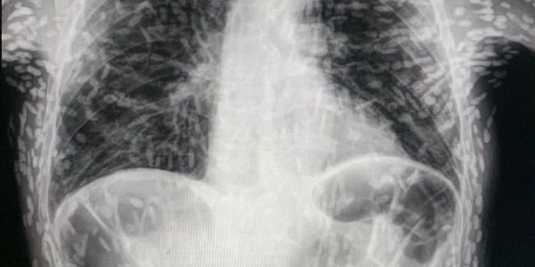
தொடர் இருமலுக்காக சிகிச்சை பெற வேண்டி மருத்துவமனையை அணுகியுள்ள ஒருவர் எடுத்த எக்ஸ்-ரே ஸ்கேனின் புகைப்படம் ஒன்று இணையத்தில் வைரலாகிவருகிறது. பார்த்தாலே திகிலில் உறைந்துதுபோகவைக்கும் அளவிற்கு அந்தப் புகைப்படம் அருவருப்பையும், அதே சமயம் அதிர்ச்சியையும் தருகிறது.
பிரேசில் நாட்டைச் சேர்ந்த அந்த நபரின் உடலுக்குள் வெள்ளை நிறத்தில் ஏதோ புள்ளிகள் போன்ற உருவம் படர்ந்திருப்பது புகைப்படத்தில் தெரிகிறது. அது வேறொன்றுமில்லை. பாரசைட் என்று சொல்லப்படும் ஒருவகை ஒட்டுண்ணிப் புழு தான். இந்த நிலைக்கு சிஸ்டிசெர்கோசிஸ் என்று பெயரிடப்பட்டுள்ளது.
இந்த நிலை, பொதுவாக குடலில் வாழும் நாடாப்புழுவின் லார்வாக்கள் தசை அல்லது மூளை போன்ற திசுக்களில் நுழையும் போது ஏற்படுகிறது. அங்கு அவை தோலின் கீழ் கட்டிகள் போல் உணரக்கூடிய நீர்க்கட்டிகள் போன்ற கடினமான முடிச்சுகளை உருவாக்குகின்றன. இது கேட்க விரும்பத்தகாததாக இருந்தாலும், இவ்வாறாக நுழையும் இந்தப் புழுக்கள் பாதிப்பில்லாதவை மற்றும் இந்த லார்வாக்கள் குறிப்பிட்ட நேரத்திற்கு மேல் உயிர்வாழாது என்று கூறப்படுகிறது.

இவ்வாறான லார்வாப் புழுக்கள் பரவலின்போது தலைவலி, வலிப்பு, குழப்ப மனநிலை, தலைச்சுற்றல் மற்றும் மூளையில் அதிக நீரை உருவாக்கும் ஹைட்ரோசெபாலஸ் போன்ற பிரச்சினைகளை உண்டாக்கும் என்று இப்புகைப்படங்களை வெளியிட்ட மருத்துவர் விட்டர் போரின் தெரிவிக்கிறார். மேலும் இவை கண்களை அடையும்போது பார்வையை மங்கலாக்கவும் செய்யலாம் என்று அவர் தெரிவிக்கிறார்.
உலகின் சில பகுதிகளில் ஏற்படும் கால்-கை வலிப்பு நிகழ்வுகளில் 70% பாதிப்புகளுக்கு மூளையில் வளரும் டேனியா சோலியம் என்ற லார்வா நீர்க்கட்டிகளே காரணமாக இருப்பதாக உலக சுகாதார நிறுவனம் தெரிவிக்கிறது. ஆண்டுக்கு சுமார் 2.5 மில்லியன் மக்கள் டேனியா சோலியம் நோயால் பாதிக்கப்படுவதாகக் கருதப்படுகிறது. இது பொதுவாக ஆசியா, தென் அமெரிக்கா மற்றும் கிழக்கு ஐரோப்பாவின் ஏழ்மையான மக்கள் வாழும் பகுதிகளில் கண்டறியப்படுகிறது.


























